0

Cerveau de base.png
Trait relié.png
point orange
point bleu
Cortex postérieur_droite .png
Connexion_gauche.png
Cortex antérieur_gauche.png

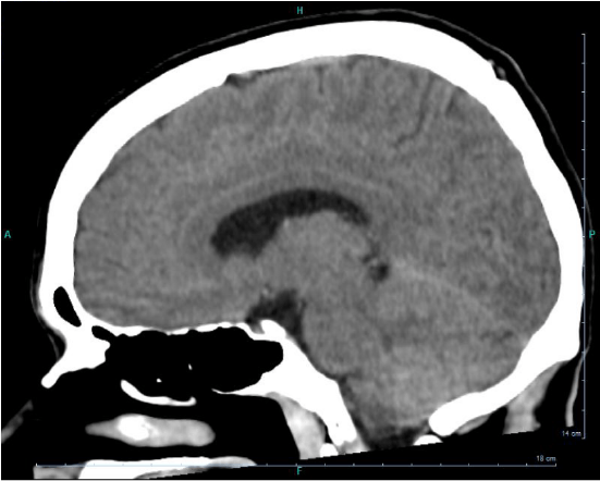
L’hypnose, comme tout phénomène psychique, dépend d’un processus neurologique avant tout. Voilà une vingtaine d’années que des chercheurs travaillent sur le sujet, prouvant au fil de leurs études que le cerveau hypnotisé mobilise des régions particulières.

Cerveau sous hypnose.png

Survolez les zones de couleur

Lettrine I.png

   l vous est probablement déjà arrivé d’être au volant de votre voiture et de vous rendre compte soudainement que vous ne vous souveniez pas du tout des derniers kilomètres parcourus. Félicitations, vous étiez en état de transe.

 

Et oui, désolé de vous décevoir, il ne s’agit pas d’un rituel chamanique occulte, mais tout simplement d’un état naturel et habituel que vous expérimentez tous les jours sans le savoir. Lorsque vous êtes concentré sur un film au point d’en avoir les larmes aux yeux ou encore quand votre belle-mère vous parle sans que vous n’écoutiez vraiment. Bref, quand vous êtes «ailleurs». L’hypnothérapeute n’est donc rien de plus qu’un «passeur» pour reprendre les mots de Fabrice Kuntz, hypnoanesthésiste à l'hôpital Saint-Charles à Toul.

 

Il y a plusieurs types de transes, de la plus légère à la plus profonde. Elle dépend de chaque individu, les hypnothérapeutes ne peuvent rien prévoir au début d’une séance. L’hypnose n’est donc qu’une sorte d’état transitoire. Sous hypnose, plongés entre sommeil et éveil, les sens du patient sont à fleur de peau ; ouïe, toucher, vue, tous sont mis à contribution dans un état binaire, mêlant relâchement et concentration intense.

 

Contrairement aux idées reçues, vous êtes donc très conscients de ce qui vous entoure et non pas en état de léthargie totale.

Et l'induction.png
Lettrine L.png

     ’induction n’est autre que l’instant où l’hypnothérapeute vous plonge en état d’hypnose. À la manière des explorateurs de rêves dans le film Inception, la plongée en état hypnotique peut se faire à l’aide d’un objet, d’un souvenir, d’un son ou d’une image. L’hypnothérapeute, dans l’optique de vous faire voyager mentalement, va essayer de déterminer une destination avec vous.

 

La destination étant purement imaginaire, il convient d’écrire un scénario ensemble. De préférence un scénario beaucoup plus simple que ceux qu’invente le réalisateur Christopher Nolan afin que la séance ne soit pas laborieuse. N’importe quel élément sur lequel vous pouvez focaliser votre attention et votre imaginaire pour créer une bulle entre vous et le monde qui vous entoure fera l’affaire.

 

La plupart du temps, c’est votre respiration qui servira à imposer le rythme de votre histoire. Le praticien l’utilise ainsi pour vous faire traverser chacune des couches psychologiques qui vous amèneront jusqu’à la destination finale.

 

Vous vous retrouvez alors dans un état de bien-être profond, fin disponible à rentrer en relation avec le praticien. Bref, vous serez dans l’état de transe que nous avons défini plus haut.

 

Toujours comme dans le film de Christopher Nolan, il faut aussi savoir traverser les parois de sa bulle en sens inverse pour revenir à un état de conscience normal, sous peine de rester coincé dans un endroit sinistre avec Marion Cotillard. Évidemment, pas d’inquiétude : vous ne risquez rien et ne resterez pas éternellement cloué dans votre lit d’hôpital aux fins fond des limbes de votre esprit, restons rationnels !


Malgré tout, faire revenir le patient n’est pas forcément chose aisée et il arrive souvent à des hypnotiseurs débutants d’avoir des difficultés à «réveiller» leur patient. L’hypnothérapeute applique en fait le même programme à rebours, la respiration étant cette fois utilisée pour vous faire revenir par étapes à votre état normal.

La rédac sur le billard.pn
Lettrine É.png

       thique journalistique oblige, nous ne pouvions pas réaliser ce doc sans passer à la casserole. En vérité, nous avons tiré à la courte-paille. C’est donc Marine, Lucas et Kévin qui se sont retrouvés sur le billard lors de nos rencontres avec Catherine Prieur, François Félix et Marie-Paule Houppe Nousse. Trois expériences différentes - les trois hypnothérapeutes ayant chacun leur propre méthode d’hypnose - et parfois intenses que nos trois journalistes vous racontent dans la vidéo ci-dessous. De rien, c’est gratuit.

Catherine Prieur

 

Titulaire de plus de trois diplômes d’hypnose, Catherine Prieur était auparavant responsable des ressources humaines dans le secteur bancaire au Luxembourg. Bercée par l’hypnose depuis son enfance, elle mettait alors en pratique son manuel du débutant sur ses camarades. Aujourd’hui, elle est hypnothérapeute à son propre compte à Thionville.

Photo Prieur

François Félix

 

Dans son cabinet à Labry, en Meurthe-et-Moselle, François Félix, cheminot à la retraite, fait le pari d’aider ses clients à arrêter de fumer, perdre du poids ou apprivoiser leurs phobies.

Marie-Paule Houpe Nousse

 

Cardiologue à Thionville, Marie-Paule Houpe-Nousse accueille également, tous les samedis matin, des patients dans son cabinet privé d’hypnose. Sa pratique de l’hypnothérapie lui est d’une grande aide au sein de son travail de cardiologue.

Photo François Félix
Photo Marie-Paule
Copy of MENU 1.png
Copy of Menu blocs.png
Copy of Txt MENU1.png Copy of Txt MENU2.png Copy of Txt Menu3.png Copy of Txt Menu4.png Copy of Txt MENU5.png Copy of Txt MENU6.png
Copy of FLECHE OUT MENU.png
Copy of FLECHE IN MENU.png
Copy of Copy of Copy of fb.png
Copy of Copy of twitter.png
Copy of Copy of url.png
Cerveau sous hypnose - Qu'est-ce que la transe hyp

Cliquez sur les mots en orange